거울을 보다가 문득 치아가 길어 보인 적 있으신가요? 잇몸이 내려앉는 증상은 단순히 보기에 좋지 않은 것을 넘어, 치아 뿌리가 드러나고 결국 치아를 잃게 될 수도 있는 중요한 경고 신호예요. 오늘 글에서는 잇몸 퇴축이 왜 발생하는지, 그리고 더 이상 나빠지지 않게 막을 수 있는 현실적인 5가지 대처법을 꼼꼼하게 알려드릴게요.

단단한 흙이 나무 뿌리를 감싸고 있어야 나무가 비바람에도 끄떡없이 서 있을 수 있죠? 우리 치아도 마찬가지입니다. 잇몸은 치아를 지탱해 주는 토양과도 같아요. 그런데 어느 날부터인가 양치할 때 찬물에 이가 시리거나, 왠지 모르게 치아 사이 틈이 넓어진 것 같은 느낌을 받으셨다면, 이미 당신의 '토양'이 유실되고 있다는 신호일 수 있습니다. 잇몸이 내려앉는 현상, 의학 용어로는 '잇몸 퇴축'이라고 부르는데요. 이건 자연스러운 노화 현상일 수도 있지만, 잘못된 습관이 부른 결과일 확률이 훨씬 높습니다. 오늘은 이 시리고 아픈 고민을 덜어드리기 위해, 잇몸을 지키는 실질적인 이야기를 해보려 합니다.
1. 당신의 칫솔질, 청소인가요 고문인가요?
많은 분들이 '세게 닦아야 개운하다'는 착각에 빠져 계십니다. 혹시 칫솔모가 3개월도 안 되어 벌어지나요? 그렇다면 당신은 양치를 하는 게 아니라 잇몸을 깎아내고 있는 중일지도 모릅니다. 잇몸이 내려앉는 가장 흔한 원인 중 하나가 바로 과도한 칫솔질입니다. 뻣뻣한 칫솔로 좌우로 벅벅 문지르는 '분노의 칫솔질'은 연약한 잇몸 조직을 마모시키고 치아 뿌리를 드러나게 만듭니다. 마치 빗자루로 흙바닥을 세게 쓸면 흙이 패여 나가는 원리와 똑같죠. 지금 당장 칫솔을 부드러운 미세모로 바꾸고, 빗자루질하듯 위에서 아래로 쓸어내리는 '회전법'을 익혀야 합니다.
2. 소리 없는 파괴자, 치석과 치주염
양치 습관이 올바른데도 잇몸이 내려앉는다면, 범인은 입안에 쌓인 '돌'일 가능성이 큽니다. 치석은 세균들의 아파트와 같습니다. 치아와 잇몸 사이에 치석이 쌓이면 독소를 내뿜어 잇몸 뼈를 녹이기 시작하죠. 뼈가 녹으니 그 위를 덮고 있던 잇몸도 자연스레 따라 내려가게 됩니다. 이게 바로 풍치, 즉 치주염의 시작입니다.






스케일링을 받으면 잇몸이 내려앉는다고 오해해서 피하는 분들이 계시는데, 이건 완벽한 착각입니다. 부어있던 잇몸이 가라앉으면서 빈 공간이 보이는 것일 뿐, 오히려 스케일링은 잇몸 퇴축을 막는 가장 확실한 방패입니다. 1년에 한 번, 보험 혜택을 챙겨서라도 꼭 치석을 제거하세요.
3. 이갈이와 교합, 치아에 가해지는 과부하
잠잘 때 무심코 하는 이갈이나 꽉 무는 습관은 치아에 엄청난 무게를 싣습니다. 치아가 견딜 수 있는 힘의 한계를 넘어서면, 그 충격은 고스란히 잇몸과 잇몸 뼈로 전달됩니다. 건물이 흔들리면 지반이 약해지듯, 치아에 과도한 힘이 가해지면 잇몸 뼈가 흡수되면서 잇몸 라인이 내려갑니다. 자고 일어났을 때 턱이 뻐근하거나 치아가 얼얼하다면 치과에서 교합 검사를 받아보거나, 필요하다면 마우스가드(스플린트) 착용을 고려해야 합니다. 또한 치아 배열이 고르지 않아 특정 치아에만 힘이 집중되는 경우에도 잇몸 퇴축이 가속화될 수 있으니 교정 치료가 예방책이 될 수도 있습니다.
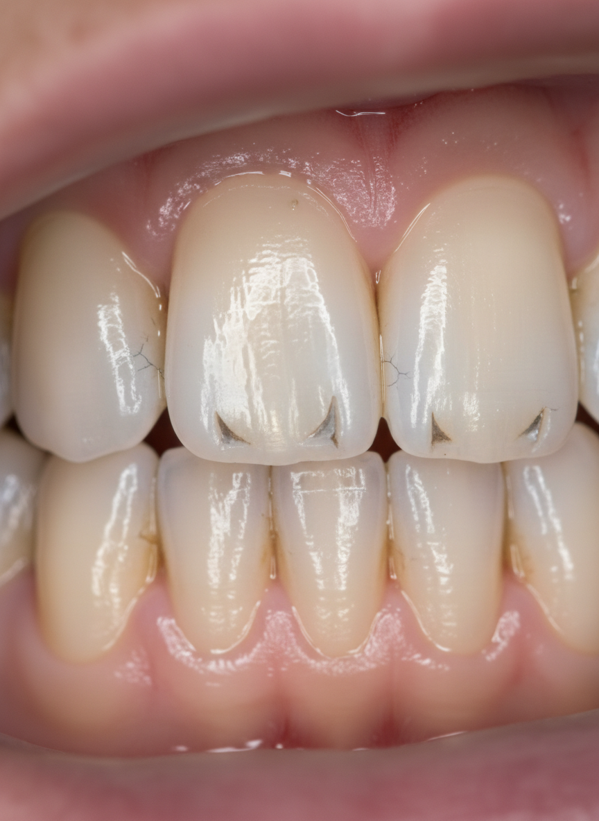
4. 시린 증상, 방치하면 신경 치료까지
잇몸이 내려앉아 드러난 치아 뿌리(상아질)는 외부 자극에 무방비 상태입니다. 찬물은커녕 바람만 스쳐도 찌릿한 통증이 느껴진다면 이미 늦었다고 생각하지 마세요. 초기라면 시린 이 전용 치약을 꾸준히 사용하는 것만으로도 증상을 완화할 수 있습니다. 하지만 치아 목 부분이 패여 나간 '치경부 마모증'까지 동반되었다면, 단순히 참는 것으로는 해결되지 않습니다.







패인 부분을 레진이나 GI 같은 재료로 메워주는 간단한 치료만으로도 치아를 보호하고 잇몸이 더 내려가는 것을 막을 수 있습니다. 통증은 몸이 보내는 마지막 구조 신호임을 잊지 마세요.
5. 최후의 보루, 잇몸 이식 수술
"이미 잇몸이 너무 많이 내려가서 치아 뿌리가 훤히 보여요. 다시 되돌릴 순 없나요?" 안타깝게도 한 번 떠나간 잇몸은 자연적으로 재생되지 않습니다. 하지만 현대 의학은 '잇몸 이식'이라는 카드를 제시합니다. 입천장 등에서 건강한 잇몸 조직을 떼어내 부족한 부분을 덮어주는 수술입니다. 물론 비용과 회복 기간이 필요하지만, 치아를 뽑지 않고 살릴 수 있는 강력한 방법입니다. 모든 케이스에 적용할 수 있는 것은 아니기에 치주과 전문의와 상담이 필수적입니다. 수술까지 가기 전에 예방하는 것이 최선이지만, 만약 필요하다면 두려워 말고 적극적으로 치료를 받아야 소중한 치아를 지킬 수 있습니다.
1. 양치 습관 점검: 뻣뻣한 칫솔로 가로로 문지르는 것은 잇몸 퇴축의 지름길입니다. 부드러운 모로 잇몸에서 치아 쪽으로 쓸어내리세요.
2. 정기적인 스케일링: 치석은 잇몸 뼈를 녹입니다. 스케일링은 잇몸이 내려앉는 것을 막는 가장 기본적이고 중요한 예방책입니다.
3. 시린 증상 대처: 이가 시리다면 참지 말고 패인 부분을 때우거나 전용 치약을 사용해 치아 뿌리를 보호해야 합니다.






잇몸은 한 번 무너지면 다시 쌓아 올리기 정말 어려운 성벽과도 같습니다. 하지만 오늘 말씀드린 내용들만 잘 실천하셔도 그 성벽이 더 이상 허물어지는 것은 막을 수 있어요. 이 글을 보신 김에 거울을 한 번 들여다보시고, 내 잇몸이 보내는 신호를 체크해 보세요. 여러분의 건강한 미소를 진심으로 응원합니다.
본 포스팅은 정보 제공을 목적으로 작성되었으며, 전문적인 의학적 진단과 조언을 대체할 수 없습니다.
자료 출처: 대한치주과학회, 보건복지부 국가건강정보포털, 국민건강보험공단 건강정보
궁금해할 만한 질문 (FAQ)
A: 안타깝게도 한 번 내려앉은 잇몸은 자연적으로 다시 차오르지 않습니다. 하지만 잇몸 이식 수술 등을 통해 어느 정도 복구가 가능하며, 더 이상 나빠지지 않도록 관리하는 것이 가장 중요합니다.
A: 그것은 오해입니다. 치석으로 인해 부어있던 잇몸이 가라앉으면서 빈 공간이 드러나 보이는 현상입니다. 오히려 스케일링을 하지 않으면 치석이 뼈를 녹여 잇몸이 더 심각하게 내려앉게 됩니다.
A: 절대 안 됩니다. 피가 나는 것은 잇몸이 약해져 있다는 신호입니다. 부드러운 칫솔모를 사용해 잇몸을 마사지하듯 살살 닦아주시고, 치과를 방문해 정확한 원인을 파악해야 합니다.